
Watch our Story
Nepal’s most trusted dental care, offering expert precision, compassionate service, and advanced solutions for all ages. Experience the best dental care in Kathmandu with our experienced team, state-of-the-art technology, and a commitment to your perfect smile.






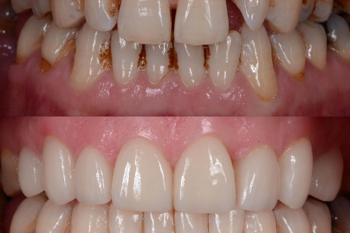
About Our Dental Clinic
Our VisionAt Vaidehi Dental Clinic, our mission is to provide outstanding dental care with precision and compassion. Our team of specialist dental surgeons, with years of experience, ensures every treatment is safe, effective, and tailored for you. Trust us to keep your smile healthy, bright, and confident.






Treatments We Offer

Dental Checkup

Scaling and Polishing

Fluoride Treatment

Dental X-Ray

Mouthguard / Nightguard

Children Dentistry

Dental Fillings

Gum Disease Treatment

Wisdom Tooth

Root Canal Treatment

Dental Surgery

Emergency Dental Treatment

Dental Implants

Bone Grafting

Crowns and Bridges

Dental Veneers

Dentures

Teeth Whitening

Orthodontic Braces

Invisalign





I had a major dental procedure, but the team was incredibly compassionate and supportive throughout. The surgery was surprisingly quick and smooth, and they made everything feel easy and stress-free.
Vaidehi Dental Clinic and Community Clinic
© 2025 by Vaidehi Dental Clinic.
Powered by dashivam06